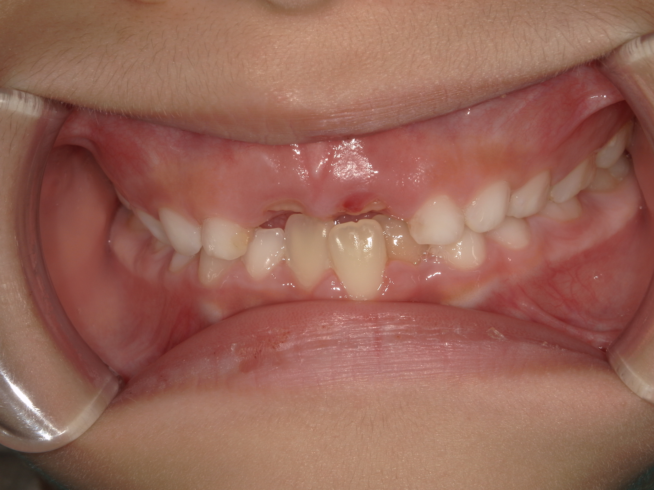
下顎叢生 小児拡大床矯正治療 10歳・男性
治療前後の比較
Before
After
お口の中全体の写真
Before
After
| 治療費用総額 | ¥400,000(税込) |
|---|---|
| 治療費用詳細 | ¥400,000(検査・診断、手術関連処置費用含む) ※月1回の調整費¥3,300は除く |
| 総治療期間 | 20か月、来院回数21回 |
| 治療に関する情報 | 下顎の骨格が小さく前歯の叢生が認められたため、拡大床による矯正治療を行った症例です。 |
| 患者の症状 | 10歳男性の患者さまで、下の前歯のガタつきが気になるとのことで矯正相談に来院されました。咬合の不均衡も認められました。 |
| 治療方法 | 上下の歯列の型取りを行い、オーダーメイドの拡大床装置を製作しました。 装置のネジを段階的に回転させることで顎の幅を拡大し、歯列のスペースを確保しました。 拡大後は後戻り防止のため、一定期間固定を行っています。 |
| 治療結果 | 成長を活かした顎の拡大により、歯列が整い自然な並びへと改善しました。 |
| その他 | 治療期間中は口腔内のチェックと清掃を定期的に実施しています。 |
| リスク・副作用 | 歯の移動や装置による圧迫により痛みを感じる場合があります。 装置に慣れるまで違和感を覚えることがあります。 清掃不良により虫歯や歯肉炎のリスクが高まるため注意が必要です。 |










