下顎前歯叢生 インビザライン症例【10代・女性】
目次
治療前後の比較
Before

After

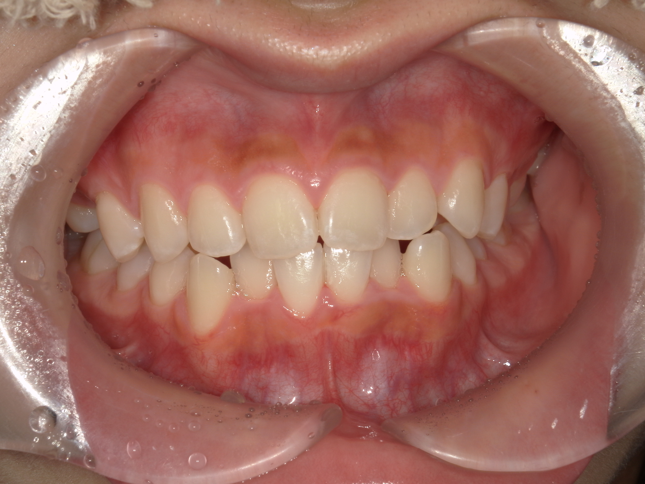
お口の中全体の写真
Before

After

| 治療費用総額 | ¥700,000(税込) |
|---|---|
| 治療費用詳細 | ¥700,000(検査・診断、手術関連処置費用含む) ※月1回の調整費¥3,300は除く |
| 総治療期間 | 1年7か月、来院回数18回 |
| 治療に関する情報 | 下の左右に親知らずがあったため矯正治療の前に抜歯を行ってから矯正を始めたケースです。 |
| 患者の症状 | 下の前歯のガタツキが特に気になるということで矯正治療の相談をされた方です。 下の前歯以外にも上の歯列にもガタツキを認め、咬合の不均一もございました。 |
| 治療方法 | 光学スキャナーにより歯並びや噛み合わせのスキャンを行い、患者個人の歯列に合わせた治療計画がシミュレーションされます。 それを元にしたインビザラインのマウスピースを作製し、それを装着してもらいます。 マウスピースは約2週間ごとに新しい物に交換することで少しずつ歯が動いていきます。 歯をしっかり動かすために歯を動かす隙間をつくるIPRを行い、マウスピースによる力を効果的にするために歯の表面にアタッチメントを装着していきます。 歯の動き方に問題がないかやインビザラインの状況などの確認のために月に1回来院してもらいます。 インビザラインによる歯の移動が終了したらアタッチメントを取り除き、後戻り防止に保定用マウスピースを就寝時してもらいます。 |
| 治療結果 | 上下とも歯列のガタツキは改善され、咬合関係も良好となりました。 |
| その他 | 治療期間中に歯周病にならないように定期的な口腔内のクリーニングを行っています。 |
| リスク・副作用 | 歯を動かすことによる一時的な痛み・違和感、治療期間が伸びる可能性、矯正終了後に後戻りのリスク 治療計画によってはIPRという歯間エナメル質を一層削ることがある |










